インプラント
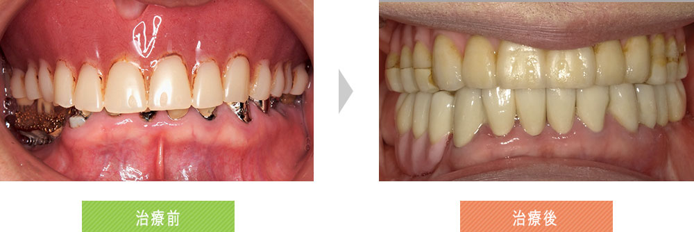
入れ歯がかめない
| 主訴 | 入れ歯がかめない |
|---|---|
| 診断名 | 上顎多数歯欠損、咬合不全 |
| 年齢 | 75歳 |
| 治療に用いた装置 (治療法) |
ノーマルインプラント(ノーベルバイオケア社製)、ザイゴマインプラント(ノーベルバイオケア社製)、上顎結節インプラント、チタンPIBハイブリッド、暫間補綴用チタンプレート |
| 抜歯部位 | 左上3番 |
| 治療期間 | 1年3ヶ月 |
| 治療費用 | 360万円 |
| リスク・副作用 (治療に関する) |
腫脹、後出血 |
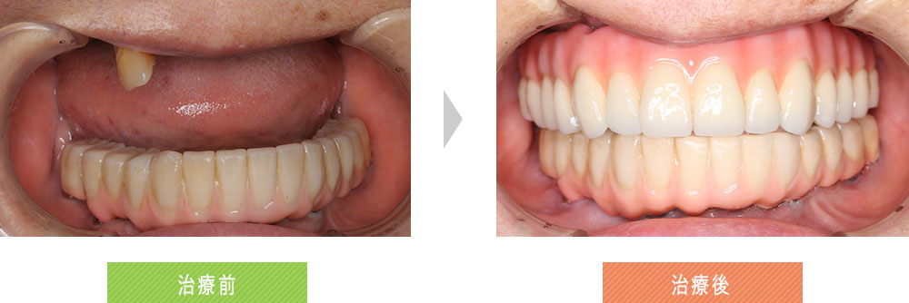
| コメント | 上顎に1本歯が残存していたが、入れ歯があってなかった。下顎は他院で治療していた。関節頭が左右ともに変形していたので、歯ぎしりやくいしばりが疑われた。上顎臼歯部に骨がないので、ザイゴマインプラントを選択した。前歯部の骨が薄かったので、3本のインプラントを埋入し、上顎結節に左右に埋入した。即座に暫間補綴物を装着したが、咬合不全による過大な負荷がかかったためか、3ヶ月後に前方の2本のインプラントが動揺をきたしたので、撤去し、新たに3本のインプラントを追加埋入し骨移植を同時に行った。補綴物装着後、3年以上経過していて、咬合関係は安定していると考えられる。 |
歯周病で歯がグラグラ
| 主訴 | 歯周病で歯がグラグラ |
|---|---|
| 診断名 | 重度歯周病 |
| 年齢 | 47歳 |
| 治療に用いた装置 (治療法) |
ザイゴマインプラント(ノーベルバイオケア社製)、ノーマルインプラント(ノーベルバイオケア社製)、チタンPIBハイブリッド、ジルコニアPIB |
| 抜歯部位 | 右上5.4.3.2.1、左上1.3.4.5.6. |
| 治療期間 | 1年3ヶ月 |
| 治療費用 | 約600万円 |
| リスク・副作用 (治療に関する) |
腫脹、痺れ、後出血 |
| コメント | 全顎的に歯周病がひどくなり、動揺が激しく、歯根が露出していた。大臼歯部が欠損していたので、上顎前歯のブリッジが前突していた。上顎の臼歯部の骨が少なかったので、片側ザイゴマのオールオン4にした。下顎はオトガイ孔の遠心に骨があったので、左右大臼歯部にインプラントを追加した。日本人の場合、この部分にインプラントが存在した方が、奥歯での咀嚼がしやすいと思う。上顎については、ジルコニアで補綴物を作成したが、破折したためにチタンで再作成した。補綴物装着から8年以上経過しているが、補綴物にトラブルや、ネジの緩みもないので、咬合関係は安定しているようだ。ご本人によると、快適になんでも咀嚼できるということだ。 |
上顎の入れ歯が合わない
| 主訴 | 上顎の入れ歯が合わない |
|---|---|
| 診断名 | 上顎無歯顎、咬合不全 |
| 年齢 | 60歳 |
| 治療に用いた装置 (治療法) |
ザイゴマインプラント(ノーベルバイオケア社製)、ノーマルインプラント(ノーベルバイオケア社製)、チタンPIBハイブリッド、ジルコニア冠 |
| 抜歯部位 | なし |
| 治療期間 | 1年 |
| 治療費用 | 348万円 |
| リスク・副作用 (治療に関する) |
腫脹、後出血 |
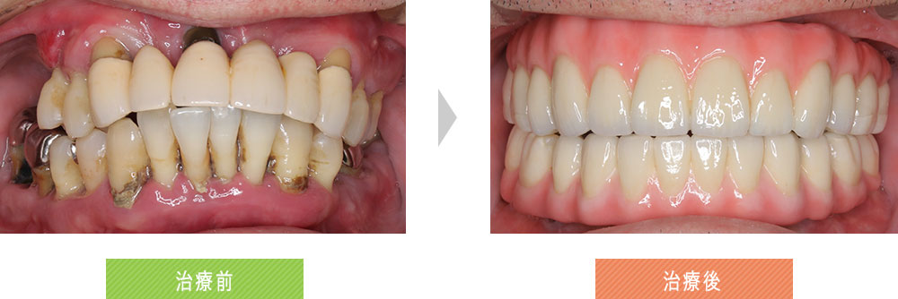
| コメント | 下顎には20年前に埋入したインプラントが存在している。上部構造がすり減っているので、咬合高径が極端に低くなっている。上顎の総義歯は人工歯部がすり減り、咬合高径が低くなっている。その結果、奥歯での咀嚼ができない状態であった。上顎の臼歯部の骨は吸収が大きいので、左右にザイゴマインプラントを使用した。前歯部にはなんとか骨が存在したので、3本のノーマルインプラントを埋入した。暫間補綴物で咬合高径を挙上し、下顎の臼歯部の補綴をやりかえて、咬合高径を本来の高さに回復した。上顎の補綴物はハイブリッド製なので、咬合面をジルコニア冠を装着することで、咬合の安定を図った。8年経過後もトラブルはなく補綴物は安定している。咀嚼も十分できているようだ。 |
歯がなくてかめない
| 主訴 | 歯がなくてかめない |
|---|---|
| 診断名 | 咀嚼障害 |
| 年齢 | 49歳 |
| 治療に用いた装置 (治療法) |
ザイゴマインプラント(ノーベルバイオケア社製)、ノーマルインプラント(ノーベルバイオケア社製)、チタンPIB人工歯、 |
| 抜歯部位 | 右上3、左上3、左上7、右下7,6,5,4,3、左下2,3 |
| 治療期間 | 1年6ヶ月 |
| 治療費用 | 380万円 |
| リスク・副作用 (治療に関する) |
腫脹、痺れ |
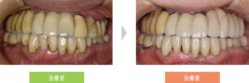
| コメント | 上顎臼歯部の骨が少なかったので、左右ザイゴマインプラントを応用した。上顎前歯の骨も少なかったが、なんとか2本埋入できた。治療費を抑えるために、最小限の本数のインプラントにし、上部構造は、チタンPIBに人工歯を使用した。顎関節症のため、暫間補綴物にて、咬合改善治療を行い、関節の動きが改善するのに期間がかかった。 |
左上臼歯部の動揺
| 主訴 | 左上臼歯部の動揺 |
|---|---|
| 診断名 | 重度の歯周病、上顎骨の極度の吸収 |
| 年齢 | 66歳 |
| 治療に用いた装置 (治療法) |
ザイゴマインプラント(ノーベルバイオケア社製)、ノーマルインプラント(ノ ーベルバイオケア社製)、ジルコニアPIB |
| 抜歯部位 | 左上1.3.4.5.6 |
| 治療期間 | 6ヶ月 |
| 治療費用 | 142万円 |
| リスク・副作用 (治療に関する) |
腫脹、後出血 |
| コメント | 上顎に以前、インプラント治療を行なっている人で、左上の臼歯が動揺が激しくなってきて、咀嚼障害を起こしたので、抜歯してインプラントを埋入することのなった。骨が少なかったのでザイゴマインプラントを応用した。右側上顎の不良なインプラントは除去した。補綴後5年経過良好であったが、上顎前歯のインプラントを除去したので、上部構造は再作勢した。その後補綴物は安定し経過は良好である。4 |
マウスピース矯正/インビザライン
オープンバイトの改善
【治療開始前のシミュレーション】
当院で行っているインビザラインというマウスピースを用いた矯正方法では、事前に治療過程をシミュレーションし個々の患者様に最適な方法で矯正治療を行ってまいります。以下の動画をご覧ください。これは治療前のシミュレーション動画ですが、高い精度で最終結果を予測し治療を行っている様子がご覧いただけます。
| 治療名称 | オープンバイトの改善(インビザライン) | |||
|---|---|---|---|---|
| 総額治療費用 | 562,000円(税込) | 金額備考 | 当医院のお支払いは総額制です。親知らず抜歯費用とメンテナンスは含まれません。メンテナンス代は含まれません。ご相談時に詳細ご説明させて頂きます。 | |
| 総治療期間 | 2016/11/26~2017/4/24 | 通院頻度 | 1ヶ月に一度 | |
| その他治療に関する情報 | 矯正終了後に親知らず抜歯して治療を完了しました。 | |||
| ■治療内容 | ||||
| 患者の症状 | ぐっと噛んだ状態でも前歯部に隙間ができてしまう状態のことをオープンバイト(開咬)と言います。この治療のために他院でワイヤー矯正を1年半したが改善せず、セカンドオピニオンとして当院に来院され、そのまま当院でインビザラインによる治療を行うことになりました。 | |||
| 治療方法 |
上顎の臼歯部を後方に移動させて、さらに圧下を行いました。加えて歯列の外側への拡大と、前歯部を内側に傾斜させることも同時に行なっていきます。 下顎は前歯部を伸ばしていきました。 最終的にスピーの湾曲(咬合平面)を正常な噛み合わせになるように整えていきます。 |
|||
| 治療結果 | 前歯オープンバイトが改善し、 術前の奥歯の噛み合わせも側方拡大により正常な噛み合わせに改善されました。 |
|||
| その他 | (矯正シミュレーション動画あり) | |||
| ■治療を行う上での注意点 | ||||
| リスク/副作用 |
矯正治療により歯肉、歯槽骨、歯根が減少することがあります。 異常習癖などがある場合は、治療期間が長くなることがあります。 矯正治療中装置が脱落することがあります。 |
|||
| その他 | 今回は半年ほどで治療は終わりましたが、オープンバイトの治療には個人差があり、平均的には半年から一年ほど要することが多いです。 | |||
叢生(ガタガタ)の改善
【治療開始前のシミュレーション】
叢生や出っ歯などの症例においても、当院の熟練したドクターによるインビザライン治療で綺麗な歯並びにしていくことが可能です。このような症例では小臼歯を抜歯することが多いようですが、当院では極力そのようなことは致しません。
なぜなら、当院では綺麗な歯並びだけではなく、ご自分の歯で「噛める喜びを追求」することに重点をおいているからです。
| 治療名称 | 叢生(ガタガタ)の改善(インビザライン) | |||
|---|---|---|---|---|
| 総額治療費用 | 770,000円(税込) | 金額備考 | 当医院のお支払いは総額制です。メンテナンス代は別途3,500円かかります。また親知らずの抜歯は別途費用をいただきます。 | |
| 総治療期間 | 2017/4/3~2018/12/26 | 通院頻度 | 1ヶ月に一度 | |
| その他治療に関する情報 | 1986年生まれの女性の患者様です。 | |||
| ■治療内容 | ||||
| 患者の症状 |
知人の紹介で矯正を主訴に来院されました。 歯が並ぶスペース確保のために、親知らずの抜歯は必要だが、小臼歯の抜歯は必要ないと判断しました。また、CT撮影をおこない骨幅の量を確認して、歯牙の移動も十分に可能であると確認しました。 |
|||
| 治療方法 |
第二大臼歯を後方に移動させ歯列を外側に拡大し歯並びが正常に改善されました。 (シミュレーション動画あり。) |
|||
| 治療結果 | 前歯のガタガタが改善し、口元の突出感も改善されました。 奥歯の噛み合わせも良好です。 |
|||
| その他 | 矯正治療の途中からオルソパルス(光加速装置)を使用しました。 | |||
| ■治療を行う上での注意点 | ||||
| リスク/副作用 |
矯正治療により歯肉、歯槽骨、歯根が減少することがあります。 異常習癖などがある場合は、治療期間が長くなることがあります。 矯正治療中装置が脱落することがあります。 |
|||
上顎前突と叢生(ガタガタ)の改善
| 治療名称 | インビザライン | |||
|---|---|---|---|---|
| 総額治療費用 | 矯正:800,000円 ジルコニアインレー:40,000円(税抜) |
金額備考 | 当医院のお支払いは総額制です。メンテナンス代は別途3,500円かかります。 | |
| 総治療期間 | 2019/9/11~2021/5/1 (1年7ヶ月) | 通院頻度など | 1カ月に1回 | |
| その他治療に関する情報 | 10代の女性の患者様です。光加速治療装置(オーソパルス)を使用しました。 | |||
| ■治療内容 | ||||
| 患者の症状 |
出っ歯が気になる、また、右上第二小臼歯が飛び出ているのが気になるとのことで来院されました。 右上第二小臼歯の舌側転移及び上顎前突、狭窄歯列弓(臼歯部が内側に寄っている歯並びのこと)による不正咬合と診断し、狭窄歯列弓を拡大し歯の並ぶスペースを確保することにより、抜歯はせずに済むと判断しました。 |
|||
| 治療方法 |
上顎臼歯部の遠心移動及び拡大と前歯部の舌側傾斜を行いました。 加えて左下第一大臼歯の保険のメタルインレーをジルコニアインレーに置き換え、審美性の回復も行ました。 |
|||
| 治療結果 | 口元の突出感がなくなり、より自然な笑顔を取り戻すことができました。 奥歯の噛み合わせも良好です。 |
|||
| ■治療を行う上での注意点 | ||||
| リスク/副作用 |
矯正治療により歯肉、歯槽骨、歯根が減少することがあります。 異常習癖などがある場合は、治療期間が長くなることがあります。 矯正治療中装置が脱落することがあります。 |
|||
| その他 | すべての人に同じような軟組織の変化が起こり、口元の突出感が改善わけではありません。 | |||
第一期治療(オーバーバイトの改善)
| 治療名称 | インビザラインファースト | |||
|---|---|---|---|---|
| 総額治療費用 |
300,000円(税抜) | 金額備考 | ||
| 総治療期間 | 2019/5/8~2020/9/3 | 通院頻度など | 1カ月に1回 | |
| その他治療に関する情報 | 8歳男子。母親より歯並び相談あり。 | |||
| ■治療内容 | ||||
| 患者の症状 | 歯磨きしにくい。 | |||
| 治療方法 | 現状のまま推移すると永久歯の並ぶスペースがないため、小児用矯正(第一期治療)をすすめました。歯列弓拡大および、捻転の改善、臼歯部の挺出により、オーバーバイトの改善をしようとしました。 | |||
| 治療結果 | オーバーバイトが改善し、拡大によりスペースも確保できたため、本人も満足しています。 | |||
| その他 |
今後第二期治療に移行する可能性あり。 |
|||
| ■治療を行う上での注意点 | ||||
| リスク/副作用 | ||||
| その他 | インビザラインファーストは1年半以内で終了することが多いです。 中学生になる前にある程度綺麗にしておくと、友達の前で笑えますし、自信につながります。 |
|||

















